Dental Implants Vernon
“Kind, caring, professional people.”
-Patricia T., 5-Star Review
- A Life-Changing Solution to Missing Teeth
- 30+ Years of Experience Restoring Smiles
- Total-Health Approach to Treatment
- Flexible Care & Financing
Rebuild Your Smile With Confidence Book Your Implant Consultation Today
Missing teeth can impact far more than your appearance. They can affect how you speak, chew, and feel every day. At Drs. Hadden & Whidden, LLC, we’re here to restore what you’ve lost with compassion, expertise, and a plan that puts your comfort first.
Our team offers complimentary dental implant consultations at both our Vernon and Coventry, CT, offices. During your visit, we’ll listen to your concerns, evaluate your needs, and walk you through your options with no pressure and no rush.
With flexible scheduling, CareCredit® financing, and a warm, welcoming atmosphere, we make it easier than ever to take the first step toward long-term oral health and renewed confidence.
Schedule your free consultation today at the location most convenient for you.
Why Dental Implants Are the Leading Tooth Replacement Option
Dental implants are widely considered the gold standard for replacing missing teeth and for good reason.
Unmatched Stability and Comfort
Because implants are secured into the jawbone, they function like natural tooth roots. This prevents your restoration from shifting or slipping, letting you eat, speak, and smile with total confidence.
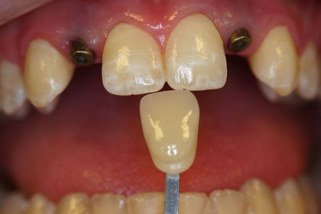
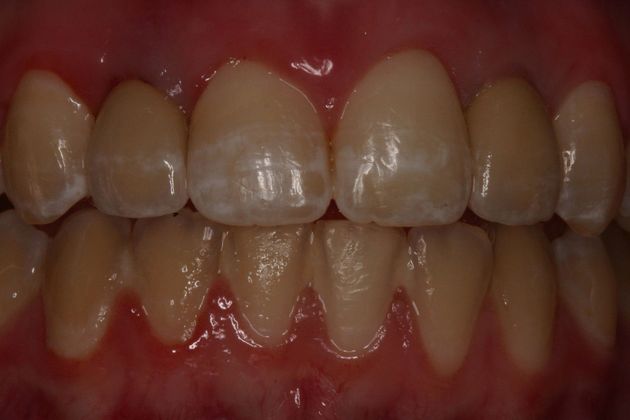
Natural Look and Feel
Each implant-supported crown, bridge, or denture is custom-crafted to match the shape, shade, and contours of your surrounding teeth. Most people won’t even be able to tell you’ve had dental work done.
Preserved Jawbone and Facial Structure
When a tooth is lost, the underlying jawbone begins to deteriorate over time. Implants stimulate the bone just like a natural tooth, helping to preserve bone density and prevent changes to your facial appearance.
Easier Daily Maintenance
Unlike removable dentures, implant-supported restorations don’t require special cleaning products or soaking. Just brush, floss, and maintain regular dental checkups as you would with your natural teeth.
Are You a Candidate for Dental Implants?

Many patients who have lost one or more teeth are excellent candidates for dental implants. Whether you're missing a single tooth or multiple teeth, implants can provide a stable, long-term solution that restores both function and appearance.
You May Be a Good Candidate If You:
- Have one or more missing teeth
- Are in generally good health
- Have healthy gums and adequate jawbone density
- Don’t smoke or are willing to stop during the healing process
- Are committed to maintaining good oral hygiene
Even if you’ve been told in the past that you’re not a candidate, advancements in dental technology and our team’s personalized planning may open new options. We’ll evaluate your unique situation and work with trusted specialists if any preparatory care is needed before moving forward.
During your complimentary consultation, we’ll take time to assess your oral health and walk you through the implant process so you can move forward with confidence.
Dental Implant FAQs
Q. Does getting a dental implant hurt?
A. Most patients are surprised at how little discomfort they feel during and after implant treatment. The surgical phase is typically performed under local anesthesia or sedation by a trusted specialist, and any soreness afterward is usually mild and short-lived.
Q. Are dental implants worth it?
A. Yes. For many patients, dental implants are a life-changing investment in their health and confidence. They offer unmatched stability, preserve your jawbone, and feel more like natural teeth than any other replacement option. Plus, because they’re built to last, they often prove more cost-effective over time than traditional dentures, crowns, or bridges.
Have other questions about dental implants? Contact our team to learn more and get started.
“Everyone is friendly and caring. Love all the staff! Also I always get the best dental care and latest technology.”
-Lucy S., 5-Star Review



